Tilmicosin (TMC) is a semi synthetic macrolide antibiotic of tylosin derivatives commonly used by veterinaries, has been shown to reveal beneficial pharmacological activities. In the current study, the potential wound healing activity, Anti-oxidant effect (ulcer and hepatoprotective) were investigated. Anti-inflammatory, antipyretic, analgesic (central and peripheral), hypnotic and antispasmodic activity were also screened. This study included adult both sexes of rats (200-250 gm), mice (20-25 gm) and adult rabbits. Experimental wound was induced on the anterior-dorsal side of each rat whereas, ulcer induced by ethanol causing mucosal damage in rats. The oral anti-inflammatory induced through formalin producing edema, antipyretic (Brewer’s yeast induced hyperthermia) and analgesic (writhing test, hot plate method, tail immersion method) while hypnotic effects induced through thiopental sodium. Anti-spasmodic effect on isolated organs (intestinal and uterine muscles) using new method of Modular Single Chamber Organ Bath were carried out on experimental animals. Tilmicosin antibiotic at different two doses of 20 and 40 mg/kg b.wt., has an important role in treatment of ulcer (cytoprotective effect) and improvement the wound healing processes besides anti-inflammatory, analgesics, and anti-pyretic effects. Tilmicosin revealed also hypnotic and intestinal anti-spasmodic effects but showed Pharmacovigilence hepatotoxic effect through the histopathological studies which revealed sever hepatic damage especially at larger dose.
Investigation the influences of vitamin (vit) E over a period of 5 days on the pharmacokinetics of florfenicol after single and multiple oral administrations in broiler chickens. Total of 12 broiler chickens had been taken single and multiple oral administrations of florfenicol (30 mg/kg) alone or pre-treated with vit E (2 mg/kg). The serum concentrations of florfenicol were determined using microbiological assay with Bacillus subtilis (ATCC 25922) as a tested microorganism. The mean serum concentrations of florfenicol alone were markedly lower when compared with florfenicol pre-treated with vit E after single and multiple dosing. The peak serum concentrations (Cmax) were 5.9±0.46, 7.48±0.3 ug/ml, absorption half-life (t0.5ab) of 0.51±0.06, 0.71±0.1 h and elimination half-life (t0.5el) of 2.72±0.34, 3.34±0.5 after single florfenicol alone and florfenicol pre-treated with vit E respectively. While, after multiple dosing, (Cmax) were 7.4±0.3, 8.04±0.3 ug/ml, (t0.5ab) 0.82±0.04, 0.81±0.04 h and (t0.5 el) 3.77±0.2, 4.52±0.7 h after multiple dosing of florfenicol alone and florfenicol pre-treated with vit E respectively. In conclusion Vit E alter the disposition kinetics of florfenicol after single and multiple oral administrations as, vit E allows prolongation of the duration of action for more 24 and 48 h of the drug concentration in the serum indicated by prolonged elimination half-lives and MRT reflecting the importance of this combination for the drug duration in serum but the increase in the serum concentration of florfenicol increasing its efficacy not toxicity as florfenicol of wide safety margin so, it’s advisable for poultry farms owners to use this combinations.
Moataz M El Semary*, Nawal A Abou Shady, Hayam Mahmoud Sayed and Mohamed El Said Al Awaady
Published on: 27th April, 2018
Aim: The aim of this study was to evaluate the ankle-knee-hip interaction during sit-to-walk (STW) movement and clinical functional abilities of the lower limbs in Parkinson’s patients.
Methods: Twenty male patients, ages ranged from 55 to 70 years, stage ΙΙ & ΙΙΙ according to modified Hoehn and Yahr (1997) classification of disabilities and ten male healthy elderly subjects, ages ranged from 55 to 70 years, participated in this study. All subjects were assessed for; clinical functional abilities of the lower limbs, ground reaction force (GRF) & spatiotemporal data and range of motion (ROM) of hip, knee and ankle joints during STW movement.
Results: The results showed very significant differences in the GRF among the normal subjects and Parkinson’s patients during STW movement. There were significant differences in hip, knee and ankle joints ROM during STW. There were significant differences in spatiotemporal findings during STW movement. The Parkinson’s disease patients did not merge the two tasks of STW while the elderly subjects merged it. There was impairment in clinical functional abilities of the lower limbs in Parkinson’s patients.
Conclusion: A continuum of STW performance and clinical functional abilities whereby the healthy elderly people performed the task more efficiently than PD patients.
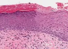
Flexible magnifying endoscopy with narrow band imaging (ME-NBI) has outstanding diagnostic correctness for gastrointestinal metaplsia and is hope for to be highly useful for imaging stage cervixcal metaplsia beginning by imaging the first stage of metaplasia by imaging single layer of subcolmnar reserve cells reserve cells hyperplasia, the reserve cells are round to cuboid with large oval or round nuclei, seen below the surface columnar cells and the columnar
The oocyte is the female gamete that contributes not only half of the genetic material but also all of the cytoplasm to the zygote, supplying the transcripts, proteins, mitochondria and other components necessary for early embryonic development. The intrinsic oocyte quality is one of the main factors affecting the embryo yield, the implantation rate and the rate of healthy offspring. It is obvious that a fertilized oocyte must reach the blastocyst stage within 6–9 days in the proper culture conditions to have a significant chance of inducing a pregnancy and producing an offspring. The ability to sustain the first week of embryonic development is clearly influenced by the follicular status from which the oocyte is obtained indicating that this developmental potential is inherent within certain oocytes. Since most early embryos that do not reach the blastocyst stage are blocked at or close to the maternal to zygotic transition (MZT)-stage, which occurs at the eight-cell stage in cattle, one could speculate that incompetent oocytes fail to appropriately activate the embryonic genome. Oocyte selection based on glucose-6-phosphate dehydrogenase (G6PDH) activity has been successfully used to differentiate between competent and incompetent bovine oocytes. Recently, molecular regulation of genes regulating biological process of Brilliant Cresyl Blue staining (BCB) selected oocytes and embryos was investigated to explain their variation in quality and developmental potentiality. This short review will highlights some of these efforts that have been done in this interesting area of research.
Background: The use of brain magnetic resonance imaging (MRI) for evaluation of neurological disorders has increased in the past two decades. This has led to an increased detection of incidental findings on brain MRI. The most common of these asymptomatic abnormalities are white matter lesions that are interpreted as demyelinating based on radiological criteria. However, in the absence of associated clinical symptoms suggestive of multiple sclerosis (MS), a definite diagnosis of MS can’t be made in patients with these incidental white matter lesions. These patients are diagnosed as CIS (clinically isolated syndrome) and RIS (radiologically isolated syndrome).Using the revised McDonald criteria now allows some patients who would have been diagnosed with CIS to be diagnosed as having MS before a second episode.
Method: Sixty one patients, 40 females and 21 males, age ranged between 15 years and 58 years, were included in our study. In addition to a detailed medical and neurological history and examination, CSF and blood analysis for oligoclonal bands and IgG index were performed for all patients.
Result: 41 patients had positive oligoclonal bands and IgG index. After clinical, MRI results and laboratory results 44 (72.1%) were diagnosed CIS and 17 (27.9%) were RIS.
Conclusion: Diagnosis of MS not depend only on MRI finding but need clinical and laboratory work up including CSF and blood analysis for oligoclonal bands and IgG index to confirm diagnosis.
In this article different numerical techniques for solving optimal control problems is introduced, the aim of this paper is to achieve the best accuracy for the Optimal Control Problem (OCP) which has the objective of minimizing the size of tumor cells by the end of the treatment. An important aspect is considered, which is, the optimal concentrations of drugs that not affect the patient’s health significantly. To study the behavior of tumor growth, a mathematical model is used to simulate the dynamic behavior of tumors since it is difficult to prototype dynamic behavior of the tumor. A tumor-immune model with four components, namely, tumor cells, active cytotoxic T-cells (CTLs), helper T-cells, and a chemotherapeutic drug is used. Two general categories of optimal control methods which are indirect methods and direct ones based on nonlinear programming solvers and interior point algorithms are compared. Within the direct optimal control techniques, we review three different solutions techniques namely (i) multiple shooting methods, (ii) trapezoidal direct collocation method, (iii) Hermit- Simpson’s collocation method and within the indirect methods we review the Pontryagin’s Maximum principle with both collocation method and the backward forward sweep method. Results show that the direct methods achieved better control than indirect methods.
Background: Laparoscopic cholecystectomy (LC), is one of the most commonly performed surgical procedures worldwide, it is accepted as the gold standard in the treatment of symptomatic gallstones for its minimal invasiveness, less pain and early recovery.
Purpose: To predict the difficulty of laparoscopic cholecystectomy in patients according to the recently published scoring system and select the difficult cases to be done by a senior surgeon.
Patients: This is a prospective cohort study. This study took place Oct 6th University Hospital and Kasr El Aini Hospital, Cairo university; the study involved 120 patients admitted with calcular cholecystitis, arranged for laparoscopic cholecystectomy.
Methods: Laparoscopic cholecystectomy after applying the scoring system.
Results: In our study we found that age, sex and ultrasonographic data were significant predictive factors for assessment preoperatively difficult cases that will be operated upon. We found 14 patients above 50 years who scored to be difficult and very difficult were at outcome difficult, only three patients converted to open surgery over fifty.
Conclusion: We can report that obese patient who were over fifty with history of previous upper abdominal surgery and ultrasonographic picture showed thick walled GB and pericholecystic collection had high risk of conversion. At this study scoring system was used for prediction of difficult laparoscopic cholecystectomy sensitivity was 93.75% and specificity was 52.94% of the scoring system at score 5 for prediction of easy or difficult laparoscopic cholecystectomy.
Background: The development of COVID-19 having been set apart as the third presentation of an exceptionally pathogenic coronavirus into the human populace after the extreme intense SARS-COV and MERS-COV in the twenty-first century. The infection itself doesn’t make a crucial commitment to mortality, anyway “cytokine storm” created by the unreasonable invulnerable reaction activated by the virus can result in a hyperinflammatory response of lung tissues and deadly lung injury, and in this way increment death rate. In this manner, immunomodulatory medications ought to likewise be remembered for treatment of COVID-19.
Presentation of the hypothesis: the virus particles invade the respiratory mucosa firstly and infect other cells, triggering a series of immune responses and the production of cytokine storm in the body, which may be associated with the critical condition of COVID-19 patients. Once a cytokine storm is formed, the immune system may not be able to kill the virus, but it will certainly kill many normal cells in the lung, which will seriously damage the of lung function. Patients will have respiratory failure until they die of hypoxia. It is not yet clear what the death rate of Covid-19 will be, though the best estimate right now is that it is around 1 percent, 10 times more lethal than seasonal flu due to cytokines storm which trigger a violent attack by the immune system to the body, cause acute respiratory distress syndrome (ARDS) and multiple organ failure, and finally lead to death in severe cases of COVID-19 infection. Therefore, inhibiting cytokine storm can significantly reduce inflammatory injury in lung tissues.
Pyridostigmine (PDG), cholinergic anti-inflammatory pathway (CAP) is a neural mechanism that modulates inflammation through the release of acetylcholine (ACh), resulting in decreased synthesis of inflammatory cytokines such as TNF-α and IL-1. This finding emphasis, the nervous and immune systems work collaboratively during infection and inflammation.
Implications of the hypothesis: Administrations of Pyridostigmine (PDG) as cholinergic agonist inhibits the inflammatory response and lower the mortality of COVID-19 patients. Likewise, activation of the CAP during systemic inflammation down-regulates the production and release of inflammatory cytokines.
Two major challenges face the practicing physicians and medical community regarding the management of hypertension. First is accurate diagnosis and finding who is the truly hypertensive patient in need of life-long treatment. Second is to improve blood pressure control through addressing hypertension risk factors, adherence to treatment and frequent monitoring.
- Current Challenges in Management
o Accurate diagnosis of hypertension
o Improving blood pressure control
- What Do We Need For The Future?
The European Society of Cardiology (ESC) and the European Society of Hypertension (ESH) jointly developed a series of hypertension guidelines in the years 2003, 207 and 2013. The most recent guidelines were issued by the two societies in August this year (2018) and were published in the European Heart Journal. The new guidelines are printed in more than 90 pages and cover almost all aspects of hypertension based on extensive review of literature giving highest priority to data from randomized controlled trials and well conducted meta-analysis. In important areas where there is inadequate or no evidence, guidelines authors resort to expert opinion. The text was developed over approximately 24 months and was reviewed by representatives of ESC and ESH national hypertension societies. Although it is less than five years since the last hypertension European guidelines in 2013, the recent 2018 guidelines show important differences in diagnosis and treatment strategies with the addition of new sections and recommendations on management of hypertensive emergencies, hypertension in women and pregnancy, different ethnic groups, chronic obstructive pulmonary disease, cancer therapies, peri-operative management, sexual dysfunction and perioperative management.
This paper presents a laboratory experiment for the formation of hydraulic jump in a rectangular open channel flume to accurately explore the effect of flow structures on water resources. This experiment illustrates the behavior of super-critical flow under sluice gate for various flow rates and downstream depths. Several runs are carried out using Armfield Model No. C4-MKII-5.0-11 to investigate the former computations concerning both the downstream conjugate depth and the critical depth resulting within the jump. Moreover, the model is examined to explore the sensitivity of Froude number by adjusting the flow-meter and over-shot weir in the flume. Also, the type of jump attributed to flow velocity can thus be obtained. Furthermore, both location of hydraulic jump and energy dissipated are discussed under the influence of different gate openings
Sherine Abdelmissih*, Monica Gamal and Kerollos M Naeem
Published on: 20th March, 2025
Background: Studies explored the therapeutic role of agents inhibiting RAS in epilepsy. Fewer studies addressed the electrophysiological changes associated with angiotensin converting enzyme inhibitors (ACEIs) in terms of sustained seizures (status epilepticus). Sodium valproate (SVPA), a broad-spectrum anticonvulsant, has been associated with adverse cardiac events upon long-term use, in contrast to the beneficial role of ACEIs in cardiovascular disorders. This work explored the potential effects of ramipril, an ACEI, compared to SVPA, on the behavior, and electrophysiology of the brain and heart in a rat model of status epilepticus. The dose dependent pattern of the presumed ramipril activities was investigated. Methods: Adult male rats were assigned into seven groups, controls, IP pyridostigmine (36 mg/kg)-induced status epilepticus (PISE), oral SVPA (5 mg/kg), and three groups receiving oral ramipril at respective doses of 5 (R5), 10 (R10), and 20 mg/kg (R20). Rat behavior was assessed using Racine’s motor convulsion scoring for 10 minutes. Blood pressure was recorded, and electroencephalography (EEG) and electrocardiography (ECG) were performed on the sedated rats 24 hours after recovery. Results: Despite the partial behavioral improvement of motor convulsions with R5 and R10 exhibited epileptogenic activity, as indicated by the increased relative power of fast and slow gamma waves and total EEG power. R10 triggered arrhythmia and cardiac ischemia as indicated by absence of P wave, along with ST elevation and tall T wave, slowed heart rate and prolonged QRS, QTc, and RR intervals. Conclusion: PISE was resistant to sodium valproate and ramipril. Ramipril at low and moderate doses induced epileptogenic activity and, especially at moderate dose, precipitated cardiac ischemia and arrhythmia. SummaryThe debatable role of ramipril in epilepsy was studied in a rat model of pyridostigmine-induced status epilepticus, compared to sodium valproate. Increasing ramipril doses did not resolve status epilepticus in rats. Instead, low and moderate doses exhibited epileptogenic activity, opposite to high dose ramipril and sodium valproate. Blood pressure was dose-dependently reduced with ramipril. Electrocardiography showed evidence of cardiac arrythmia and ischemia, especially with the moderate ramipril dose. The behavioral and EEG indices correlated with systolic blood pressure and ECG changes.
I would like to thank JPRA for taking this decision. I understand the effort it represents for you. I'm truly happy to have the paper published in JPRA. And I'll certainly consider JPRA for my next publications as I was satisfied of the service provided, the efficiency and promptness of the interactions we had.
Emmanuel BUSATO
Publishing with the International Journal of Clinical and Experimental Ophthalmology was a rewarding experience as review process was thorough and brisk.
Their visibility online is second to none as their published articles appear in all search engines.
I will encourage researchers to publish with them.
Elizabeth Awoyesuku
“The choice to submit the forensic case study to the Journal of Addiction Therapy and Research was dictated by the match between the content and the potential readership. The publication process proved to be expedient and we were provided with constructive feedback from reviewers. The final article layout is attractive and conforms to standards. All-in-all, it has been a rewarding process.”
Elisabeth H Wiig
Archives of Vascular Medicine is one of the top class journal for vascular medicine with highly interesting topics.
You did a professional and great Job!
Elias Noory
Thank you very much. I think the review process and all of what concerns the administration of the publication concerning our paper has been excellent. The nice and quick answers have been very good I think.
Doris Nilsson
Journal of Pulmonary and Respiratory Research is good journal for respiratory research purposes. It takes 2-3 weeks maximum for review of the manuscript to get published and any corrections to be made in the manuscript. It needs good articles and studies to get publish in the respiratory medicine. I am really glad that this journal editors helped me to get my case report published.
Divya Khanduja
Thanks you and your colleague for the great help for our publication. You always provide prompt responses and high quality of service. I am so happy to have you working with me.
Thanks again!
Diana (Ding) Dai
Service and process were excellent as was the “look” of the article when published.
Deane Waldman
Great, thank you! It was very efficient working w/ your group. Very thorough reviews (i.e., plagiarism, peer, etc.). Would certainly recommend that future authors consider working w/ your group.
David W Brett
Your services are very good
Chukwuka Ireju Onyinye
I very much appreciate the humanitarian services provided in my stead by this journal/publisher.
It exhibits total absence of editorial impertinence. As an Author, I have been guided to have a fruitful experience.
The editorial care is highly commendable.
Chrysanthus Chukwuma
"An amazing experience with the Journal of Advanced Pediatrics and Child Health. Very fast blind review with pertinent corrections and suggestions. I highly recommand both the journal and the editor."
Chaimae Khairoun
The submission is very easy and the time from submission to response from the reviewers is short. Correspondence with the journal is nice and rapid.
Catrin Henriksson
The Clinical Journal of Obstetrics and Gynecology is an open access journal focused on scientific knowledge publication with emphasis laid on the fields of Gynecology and Obstetrics. Their services toward us have been encouraging through their kindness and respect. Great consideration has been given to us as young budding researchers and we are very grateful for this.
Carole Assontsa
During the process your positive communication, prompt feedback and professional approach is very highly appreciated.
We would like to thank you very much for your support.
Can Vuran
I do appreciate for your service including submission, analysis, review, editorial and publishing process. I believe these esteemed journal enlighten the science with its high-quality personel.
Bora Uysal
I am very much pleased with the fast track publication by your reputed journal's editorial team. It is really helpful for researchers like me from developing nations.
I strongly recommend your journal for publication.
Badri Kumar Gupta
It has been a fabulous journey writing articles for your journal because of the encouragement you people provide for writers from developing nations like India. Kindly continue the same. Looking forward for a long term association.
Badareesh Lakshminarayana
Many thanks for publishing my article in your great journal and the friendly and hassle-free publication process, the constructive peer-review, the regular feedback system, and the Quick response to any queries.
Azab Elsayed Azab
I would like to thank this journal for publishing my Research Article. Something I really appreciate about this journal is, they did not take much time from the day of Submission to the publishing date. Looking forward to have more publications in future.
Ayush Chandra
Submission of paper was smooth, the review process was fast. I had excellent communication and on time response from the editor.
Ayokunle Dada
Your service is very good and fast reply, also your service understand our situation and support us to publication our articles.
Ayman M Abu Mustafa
Really good service with prompt response. Looking forward to having long lasting relationship with your journal
Avishek Bagchi
Your service is excellent. Processing and editing were very fast. I hope to publish more of my works in your journal.
Ausraful Islam
I wanna to thank Clinical Journal of Nursing Care and Practice for its effort to review and publish my manuscript. This is reputable journal. Thank you!
Atsedemariam Andualem
“It was a delightful experience publishing my manuscript with the Clinical Journal of Obstetrics and Gynecology. They offered me lots of opportunities I never had from most publishing houses and their prompt services are greatly appreciated.”
Asafo Jones
I hope to ability to make some new investigation and publish in Your Company in future.
Artur Stopyra
I like the quality of the print & overall service. The paper looks quite impressive. Hope this will attract interested readers. All of you have our best wishes for continued success.
Arshad Khan
Your big support from researchers around the world is the best appreciation from your scientific teams. We believe that there should be no barrier in science and you make it real and this motto come true.
Arefhosseinir Rafi
Your journal co-operation is very appreciable and motivational. I am really thankful to your journal and team members for the motivation and collaboration to publish my work.
Assistant Professor, UCLAS Uttaranchal University, Dehradun, India
Archna Dhasmana
I am glad to submit the article to Heighten Science Publications as it has a very smooth and fast peer-review process, which enables the researchers to communicate their work on time.
Anupam M
This is to specify that I have had an extensive and detailed interaction with the Editorial team of Annals of Clinical Gastroenterology and Hepatology, USA, lasting over a significant period of time. My interaction has been extremely pleasant, especially with Ms Allie Smith, as I find the communication quite inspiring and crystal clear. The attitude of aforesaid individuals is quite helpful and guiding in pertinent instances. It has been a commemorative journey so far working with the Journal and I hope that the symbiosis will continue, evolve and flourish in the forthcoming years.
I wish the journal, related personnel and aforementioned individuals a fruitful, successful run.
New Delhi, India
Anubha Bajaj
We appreciate the fact that you decided to give us full waiver for the applicable charges and approve the final version. You did an excellent job preparing the PDF version. Of course we will consider your magazine for our future submissions and we will pay the applicable fees then.
Anna Dionysopoulou
''Co-operation of Archives of Surgery and Clinical Research journal is appreciable. I'm impressed at the promptness of the publishing staff and the professionalism displayed. Thank you very much for your support, help and encouragement.''
Anıl Gokce
Congratulations for the excellence of your journal and high quality of its publications.
Angel MARTIN CASTELLANOS
The service from the journal staff has been excellent.
Andy Smith
I was very pleased with the quick editorial process. We are sure that our paper will have great visibility, among other things due to its open access. We believe in science accessible to all.
Anderson Fernando de Souza
It was a great experience publishing through JCICM. The article has reached out to several institutions. Appreciate your professional work. Hope to work with you again
Anas Wardeh
Publishing an article is a long process, but working with your publication department made things go smoothly, even though the process took exactly 5 months from the time of submitting the article till the time I have favourable response, the missing part is the peer review details, which is essential in self auditing and future improvement, overall experience was excellent giving your understanding of the situation of lack of financial institution support.
Anas Diab
I think that Heighpubs very good. You are very helpful. Thank you for everything.
Ana Ribeiro
Regarding to be services, we note that are work with high standards of professionalism translated into quick response, efficiency which makes communication accessible. Furthermore, I believe to be much inviting for the submission of future works for publication purposes.
Amélia João Alice Nkutxi
I would like to mention that I had a wonderful experience working with HSPI. The whole process right from manuscript submission to peer review till the publication of the article was very prompt & efficient. I wish you good luck for the future.
Amarjeet Gambhir
Once I submitted the manuscript, the response time of the reviewers was very fast. The fine-tuning of the galley proof was likewise prompt. I believe the journal provide a valuable outlet to disseminate physical rehabilitation scientific knowledge to the clinical community.
Respectfully.
Dr. Alon
Alon
We really appreciate and thanks the full waiver you provide for our article. We happy to publish our paper in your journal. Thank you very much for your good support and services.
Ali Abusafia
It was a real pleasure working with your team. The review was done fast, and it was very clear, the editing was flawless, the article was published quickly compared to other journals, and everyone was understanding and helpful. I will gladly recommend this journal to my acquaintances in academia.
Alexandra Cozma
To the editorial team at HSPI and the Journal of Clinical Nephrology:
Thank you so much for your hard work and collaboration in bringing our article to life. Your staff was responsive, flexible, and communicative and made the process smooth and easy. Thank you!
Alejandro Munoz
Dear colleagues! I am satisfied with our cooperation with you. Your service is at a high level. I hope for a future relationship. Let me know if I can get a paper version of the magazine with my articles from you. I see them on the Internet.
Aksenov V.V
"This is my first time publishing with the journal/publisher. I am impressed at the promptness of the publishing staff and the professionalism displayed. Thank you for encouraging young researchers like me!"
Ajite Kayode
I want to thank you for our collaboration. You were fast and effective with a positive spirit of teamwork.
I am truly excited from our collaboration. You were like always fast, efficient and accurate.
I hope that in the near future we will collaborate again.
Aikaterini Solomou
In my opinion, you provide a very fast and practical service.
Ahmet Eroglu
Great, We are too comfortable with the process including the peer review process and quality. But, the journal should be indexed in different databases such scopus.
Afework Edmealem
We really appreciate your efforts towards our article, the professional way you handle our request for exemption from charges.
It was a great honor for us to publish in your magazine.
Achraf elbakkaly
I really liked the ease of submitting my manuscript in the HSPI journal. Further, the peer review was timely completed and I was communicated the final decision on my manuscript within 10 days of submission which is really appreciable. I strongly recommend all the scientists and researchers to submit their work in this journal”
Abu Bashar
My candid opinion is that the service you render is second to none. My favourite part is the prompt response to issue, really i value that.
Abiodun Akanbi Adeogun
Thank you very much for accepting our manuscript in your journal “International Journal of Clinical Virology”. We are very thankful to the esteemed team for timely response and quick review process. The editorial team of International Journal of Clinical Virology is too cooperative and well-mannered during the publication process. We are hopeful to publish many quality papers in your journal and I suggest the International Journal of Clinical Virology to all of my colleagues, researchers and friends to publish their research here.
Abdul Baset
I, Muhammad Sarwar Khan, am serving as Editor on Archives of Biotechnology and Biomedicine (ABB). I submitted an editorial titled, 'Edible vaccines to combat Infectious Bursal Disease of poultry' for publication in ABB. After submitting the manuscript; the services rendered by the management and technical personnel to handle and process the manuscript were marvelous. Plagiarism report was shared with me with complements before reviewers' comments, All steps including article processing and service charges were well taken care of keeping in view the author's interest/preference. All together, it was an encouraging and wonderful experience working with ABB personnel.
University of Agriculture, Pakistan
Muhammad Sarwar Khan
Your journal has accomplished its intended mission of providing very effective and efficient goals in dealing with submissions, conducting the reviewing process and in publishing accepted manuscripts in a timely manner. Keep up the great work and services that you provide.
University of Jacqmar, Inc., USA
John St. Cyr
I am to express my view that Heighten Science Publications are reliable quick even after peer review process. I hope and wish the publications will go a long way in disseminating science to many interested in scientific research.
College of Fisheries, CAU(I), Tripura, India
Ajit Kumar Roy
The Journal Clinical Nephrology provides a good opportunity for readers to stay updated in the field of clinical nephrology. Additionally - it provides a good opportunity for authors to publish their work.
1. Publication of the accepted manuscripts is sufficiently rapid.
2. The trust factor between the journal and me, as an author, is very important and well preserved.
3. Peer review process very rapid and effective.
Assaf Harofeh Medical Center, Israel
Leonid Feldman
In 2017, I submitted a manuscript to the journal Archives of Biotechnology and Biomedicine belonging to Heighten Science Publications Corporation. Within one week I already received the response from the editor. All processing steps were really fast so in terms of a speedy publication I can particularly recommend the journal Archives of Biotechnology and Biomedicine. The responsible contact person of the journal was always available, which gives a trustworthy impression to the author. Also the peer review process was clear and constructive. So from my experience with Heighten Science Publications Corporation I can recommend publishing there.
University of Tubingen, Germany
Yvonne Mast
We thank to the heighten science family, who speed up the publication of our article and provide every support.
Mehmet Besir
The services of the journal were excellent. The most important thing for an author is the speed of the peer review which was really fast here. They returned in a few days and immediately replied all of my questions. I want to refer this platform to all scholars.
Many thanks.
Eastern Mediterranean University, Cyprus
Zehra Guchan TOPCU
Thank you for your attitude and support. I am sincerely grateful to you and the entire staff of the magazine for the high professionalism and fast quality work. Thank you very much!
USA
Igor Klepikov
Thank you and your company for effective support of authors which are very much dependable on the funds gambling for science in the different countries of our huge and unpredictable world. We are doing our work and should rely on a teams like Galley Proof-HSPC. Great success to all of you for the 2019th!
Be well all the year long.
Russia
Victor V Apollonov
The editorial process was quickly done. The galley proof was sent within a week after being accepted for publication.
The editorial team was very helpful and responded promptly.
India
Rohit Kulshrestha
Publishing with the International Journal of Clinical and Experimental Ophthalmology was a rewarding experience as review process was thorough and brisk. Their visibility online is second to none as their published articles appear in all search engines. I will encourage researchers to publish with them.
University of Port Harcourt Teaching Hospital, Nigeria
Dr. Elizabeth A Awoyesuku
"It was a pleasure to work with the editorial team of the journal on the submission of the manuscript. The team was professional, fast, and to the point".
NC A&T State University, USA
Moran Sciamama-Saghiv
Submission of paper was smooth, the review process was fast. I had excellent communication and on time response from the editor.
Ekiti State University Teaching Hospital, Nigeria
Ayokunle Dada
I am delighted and satisfied with. Heighten Science Publications as my manuscript was thoroughly assessed and published on time without delay. Keep up the good work.
Ido-Ekiti/Afe Babalola University, Nigeria
Dr. Shuaib Kayode Aremu
"This is my first time publishing with the journal/publisher. I am impressed at the promptness of the publishing staff and the professionalism displayed. Thank you for encouraging young researchers like me!"
Ekiti State University, Nigeria
Adebukola Ajite
I wanna to thank clinical journal of nursing care and practice for its effort to review and publish my manuscript. This is reputable journal. Thank you!
Wollo University, Ethiopia
Atsedemariam Andualem
We appreciate your approach to scholars and will encourage you to collaborate with your organization, which includes interesting and different medical journals.
With the best wishes of success, creativity and joy in life, prosperity in the medical field.
Ivano- Frankivsk National Medical University, Ukraine
Nataliya Kitsera
Thank you very much for your support and encouragement. I am truly impressed by your tolerance and support.
Thank you very much
Diaverum: PADC, Jeddah, Saudi Arabia
Nasrulla Abutaleb
You are such a nice person. Your journal co-operation is very appreciable and motivational.
Department of Biotechnology, Uttaranchal college of Applied and Life Sciences, Uttaranchal University, Dehradun, Uttarakhand, India
Archna Dhasmana
“Mobile apps and wearable technology are becoming ubiquitous in our environment. Their integration with healthcare delivery is just beginning to take shape. The early results are promising and the possibilities great."
BS, PharmD., MBA, CPHIMS, FHIMSS, Adjunct Professor, Global Healthcare Management, MCPHS University, Chief Strategy Offi cer, MedicaSoft, Senior Advisor, National Health IT (NHIT) Collaborative for Underserved, New York HIMSS, National Liaison, Health 2.0 Boston, Past Chair, Chair Innovation, USA
Helen Figge
“The choice to submit the forensic case study to the Journal of Addiction Therapy and Research was dictated by the match between the content and the potential readership. The publication process proved to be expedient and we were provided with constructive feedback from reviewers. The final article layout is attractive and conforms to standards. All-in-all, it has been a rewarding process.”
Ph.D, Boston University Department of Communication Sciences and Disorders and Knowledge Research Institute, Inc., 2131 Reflection Bay Drive, Arlington, Texas 76013, USA
Elisabeth H. Wiig
The service is nice and the time of processing the application is fast.
Department of Neurosurgery, Queen Elizabeth Hospital, Hong Kong
Long Ching
Your service is very good and fast reply, Also your service understand our situation and support us to publication our articles.
Palestine College of Nursing, Khan Younis, Gaza Strip, Palestine
Ayman M Abu Mustafa
“It was a delightful experience publishing my manuscript with the Clinical Journal of Obstetrics and Gynecology. They offered me lots of opportunities I never had from most publishing houses and their prompt services are greatly appreciated.”
Department of Agricultural Economics, Agribusiness and Extension, Kwame Nkrumah University of Science and Technology, Kumasi, Ghana
If you are already a member of our network and need to keep track of any developments regarding a question you have already submitted, click "take me to my Query."